È necessario partire dal fatto che gli organismi più semplici sono apparsi molto tempo fa; sono considerati gli abitanti più antichi del pianeta. Nel corso della loro esistenza, sono diventati incredibilmente resistenti a varie sfide. Possono sopravvivere anche negli ambienti più pericolosi.
Questi microrganismi hanno scelto per se stessi un modo di esistere molto conveniente: il parassitismo, in particolare nel corpo umano. Come accennato in precedenza, questi microrganismi sono incredibilmente “dannosi” e persistenti, motivo per cui a volte è così difficile liberarsene.
Esistono diversi tipi di luoghi in cui “risiedono” i parassiti. Il primo tipo comprende i microrganismi endogeni, cioè quelli che si trovano all'interno del corpo umano. Il secondo tipo comprende parassiti esogeni che "si depositano" volentieri sulla pelle e causano varie malattie della pelle.
Tipi di parassiti protozoari
Fondamentalmente esistono 4 tipi di parassiti che “vivono bene” nel corpo umano.
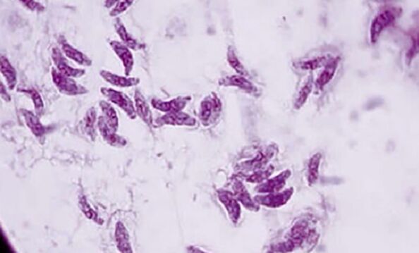
Flagellati
Questi includono Giardia e Tripanosomi. Questa classe è rappresentativa dei più antichi rappresentanti dei parassiti. Hanno ricevuto questo nome dall'organo del loro movimento: flagelli. La dimensione dei parassiti stessi è semplicemente microscopica, hanno una forma costante e si riproducono, di regola, dividendosi in due parti.

Sono molto pericolosi per l'uomo e gli animali; se entrano nei loro corpi, causano gravi danni. Causano anche varie malattie. Come la febbre del sonno americana, la leishmaniosi cutanea e tante altre. Possono parassitare nell'intestino, nel sangue e sulla pelle. Quindi, incidendo negativamente sulla salute umana.
Sporozoi
Questo tipo di parassita protozoico ha un percorso di sviluppo molto complesso. Attualmente è noto che la classe contiene circa 1400 specie. Tutti i rappresentanti “scelgono” uno stile di vita parassitario e sono estremamente pericolosi per le persone e gli animali. La riproduzione avviene per divisione cellulare.

Molto spesso, come “luogo di residenza” vengono scelti tessuti e organi umani o animali. Questa specie causa molte malattie. Ad esempio, come la malaria, la toxoplasmosi.
Ciliati
Questi includono balantidia. Esistono circa 7.000 specie diverse. Gli organi di movimento di questi parassiti sono le ciglia, di cui ce ne sono molte.

Una particolarità di questo tipo è la presenza di due nuclei. Hanno una forma del corpo e un guscio costanti. La riproduzione avviene solitamente a seguito della divisione. Questa specie non è meno pericolosa per l'uomo e gli animali delle due precedenti.
Sarcodacee
Questi includono la dissenteria dell'ameba. Sono i più primitivi di tutti i tipi e classi. Esistono circa 10.000 specie diverse! Non hanno una forma corporea costante. Sono parassiti negli esseri umani e negli animali.

Molto spesso scelgono l'apparato digerente per le loro attività. A causa loro, negli esseri umani possono verificarsi avvelenamenti molto gravi. In alcuni casi, i decessi sono comuni.
Questi tipi sono accomunati da un'elevata resistenza a vari "test". Dopotutto, una persona infetta cerca costantemente di combattere i parassiti, ma non sempre funziona perché riesce a resistere a tutte le misure.
Perché sono pericolosi, quali malattie causano?
I parassiti protozoari sono infatti molto pericolosi per la salute umana. Possono causare varie malattie che comportano determinate conseguenze. In nessun caso bisogna sottovalutare i parassiti protozoari, perché possono danneggiare in modo significativo una persona.
Malattie causate da parassiti protozoari:
Malaria
Questa malattia è caratterizzata da alcuni cambiamenti. A volte c'è sollievo, poi il sollievo viene sostituito da un'esacerbazione dei sintomi. I sintomi principali sono mal di testa, febbre, nausea, vomito e convulsioni.

Per molti anni la chitina è stata considerata il miglior trattamento. Tuttavia, i decessi dovuti a questa malattia si verificano più spesso anche in luoghi in cui la medicina è sviluppata a un livello basso.
Amebiasi
Un'altra malattia non meno pericolosa, le cui conseguenze possono anche essere tristi. L'agente eziologico è l'ameba dissenteria.
I sintomi iniziano a comparire 7-10 giorni dopo l'infezione. Questi includono mal di testa, malessere generale, febbre e alcune persone possono avere mal di stomaco. Seguono complicazioni, che si esprimono in problemi al fegato. Se il paziente non inizia il trattamento in tempo e non consulta uno specialista, le conseguenze saranno irreversibili.
Toxoplasmosi
L'agente eziologico della malattia è il Toxoplasma gondii. I sintomi di questa malattia includono danni agli occhi, il sistema nervoso soffre e il sistema cardiovascolare. Molto spesso, all'inizio l'infezione è insignificante e scompare come se fosse un comune raffreddore.

L'infezione durante la gravidanza è molto pericolosa. Anche se il bambino sopravvive, molto probabilmente ciò avverrà con complicazioni e danni agli occhi o al sistema nervoso. Pertanto, anche ai primi sintomi, è imperativo consultare un medico.
Balantidiasi
Causato da un microrganismo come balantidia. I sintomi di questa malattia includono dolore addominale e indigestione. In alcuni casi sono possibili anche febbre alta e intossicazione del corpo.
Leishmaniosi
L'agente eziologico di questa malattia è considerato la leishmania. Con manifestazioni cutanee e mucocutanee compaiono ulcere. Con le manifestazioni mucocutanee può spesso verificarsi gonfiore. Poiché queste malattie sono associate alle vie respiratorie, potrebbero esserci dei decessi.
La leishmaniosi si trova principalmente nei paesi caldi. Questa malattia è abbastanza comune e si verifica in 87 paesi.
Come puoi vedere, i parassiti protozoari sono incredibilmente pericolosi per la salute umana, nonostante la semplice struttura dei microrganismi. Possono causare danni irreparabili al corpo umano, oltre a portare a determinate conseguenze e complicazioni.
Come vengono trasmessi?
Esistono 4 metodi più comuni di infezione:
- Contatto - famiglia. Questo tipo si verifica a causa della violazione delle misure sanitarie o delle norme igieniche. L'infezione può verificarsi a causa di varie azioni: utilizzo di cose di altre persone, in particolare prodotti per l'igiene personale, stoviglie e simili. Pertanto, è molto importante osservare le regole dell’igiene personale, avere i propri prodotti per la cura personale e non utilizzare in nessun caso quelli di qualcun altro.
- Fecale – orale. Questo tipo si verifica a seguito del contatto con feci o vomito. Il parassita protozoico entra prima nelle mani o nel cibo del “nuovo ospite”, e poi nel suo corpo.
- Dal cibo. Questo tipo si verifica a seguito del consumo di cibi contaminati. Potrebbe trattarsi di pesce o carne poco cotti, frutta e verdura non lavate e latticini.
- Trasmissivo. Questo tipo si verifica a seguito della trasmissione da un oggetto infetto durante un morso, cioè attraverso la saliva.
Come sbarazzarsene
Dopo aver letto l'articolo, sorge sicuramente questa domanda. Le infezioni da parassiti protozoari sono molto comuni, quindi la questione di sbarazzarsene è incredibilmente importante.
Come accennato in precedenza, quando compaiono i primi sintomi di infezione, è necessario consultare un medico. Lo specialista può prescrivere determinati test ed esami. Dopo averli superati, il medico farà una diagnosi accurata. Dopodiché è necessario iniziare urgentemente il trattamento. Inoltre, non è consigliabile automedicare, perché è un professionista che può aiutare a fare la diagnosi corretta e prescrivere il trattamento appropriato. Nella maggior parte dei casi, i medici ricorrono al trattamento con vari farmaci che aiutano a eliminare i parassiti e ad accelerare la guarigione di una persona.
Nei tempi moderni, ci sono molti diversi buoni farmaci che aiutano con le infezioni da parassiti protozoari. Esiste un'enorme varietà di medicinali sul mercato, il che rende possibile trovare quello giusto per un determinato paziente.
Misure preventive
Per non incontrare i problemi di cui sopra, è necessario rispettare alcune regole e adottare misure preventive.
Le regole più efficaci sono quelle che i bambini imparano a scuola. Innanzitutto non dobbiamo dimenticare di lavare accuratamente frutta e verdura. Puoi anche cucinarlo o tagliare la pelle.
Inoltre, non puoi mangiare pesce crudo o carne poco cotta. È necessario preparare completamente il piatto, osservare le condizioni di temperatura e tempo per cuocere completamente il prodotto. Dovrebbero essere evitati contatti sessuali occasionali. È inoltre necessario sottoporsi a regolari visite mediche.













